A 39-year-old man was investigated for three episodes of facial swelling following dental procedures performed between 1999 and 2001. On two occasions the patient was hospitalised and given intravenous antibiotic treatment for cellulitis.
The facial swelling was ipsilateral to the dental procedure, unresponsive to antihistamines and not associated with urticaria, laryngeal oedema or bronchospasm. It occurred within about 12 hours of the procedure and resolved over several days. The patient reported a history of rash after penicillin exposure but no prior reactions to local anaesthetic agents. Full blood count, serum complement C3 and C4 levels, C-1-esterase inhibitor level and function were all within the normal range. An antinuclear antibody test was negative, IgE levels were not raised and no latex-specific IgE was detected.
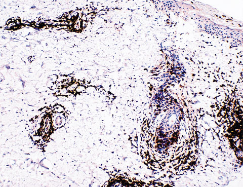
Skinprick, intradermal and subcutaneous testing with normal saline, the amide anaesthetics lignocaine and citanest, and the ester anaesthetic procaine showed no evidence of an immediate type 1 allergic reaction. However, two days later the patient reported that a raised area of skin had appeared. Subcutaneous injection with lignocaine resulted in a localised raised erythematous rash 48 hours after injection. A less intense reaction occurred with citanest, and no reaction was detected with procaine or normal saline alone. Histopathology of the skin biopsy from the lignocaine challenge site is shown in Boxes 1 and 2.
Local anaesthetics can be classified into ester-type agents (eg, procaine, benzocaine) and amide-type agents (eg, lignocaine, bupivacaine, mepivacaine). Although allergic reactions to local anaesthetic agents are uncommon, both type 1 reactions (via an IgE-mediated mechanism) and delayed-type hypersensitivity (DTH) reactions have been described.1-5
This patient demonstrated a DTH reaction to two agents from the amide class of anaesthetics. Presumably, sensitisation to lignocaine had occurred at the time of previous procedures using the agent. Cross-reactivity with another amide-type local anaesthetic is the most likely explanation for the less intense reaction seen with citanest. Although DTH reactions to local anaesthetics are rare, this case highlights the fact that DTH reactions should be considered in the differential diagnosis of local reactions after procedures using local anaesthesia. This may avoid unnecessary investigations, misdiagnoses and inappropriate treatment.
- Louise A Evans1
- Judy Pointing2
- Edward J Wills3
- Stephen Adelstein4
- John Michalopoulos5
- 1 Royal Prince Alfred Hospital, Camperdown, NSW.
- 2 Grosvenor Place Dental Centre, Sydney, NSW.
- 1. Fisher MM, Bowey CJ. Alleged allergy to local anaesthetics. Anaesth Intensive Care 1997; 25: 611-614.
- 2. Astarita C, Gargano D, Romano C, et al. Long term absence of sensitization to mepivacaine as assessed by a diagnostic protocol including patch test. Clin Exp Allergy 2001; 31: 1762-1770.
- 3. Curley RK, Macfarlane AW, King CM. Contact sensitivity to the amide anaesthetics lidocaine, prilocaine and mepivacaine. Arch Dermatol 1986; 122: 924-926.
- 4. Klein CE, Gall H. Type IV allergy to amide-type local anesthetics. Contact Dermatitis 1991; 25: 45-48.
- 5. Bircher AJ, Messmer SL, Surber C, Rufli T. Delayed-type hypersensitivity to subcutaneous lidocaine with tolerance to articaine: confirmation by in vivo and in vitro tests. Contact Dermatitis 1996; 34: 387-389.



