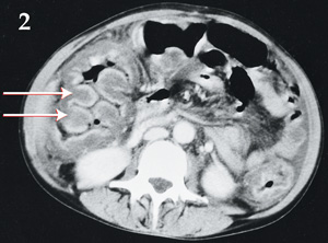
A 39-year-old woman with AIDS (CD4 count, 30 cells/mL) had a 4-day history of nausea, vomiting and profuse watery diarrhoea. The patient was afebrile and had a distended abdomen with diffuse guarding without rebound tenderness. Abdominal x-rays (Box 1) and computed tomography scans (Box 2) were performed. The white blood cell count was within normal limits and stool cultures were negative. Colonoscopy revealed yellow plaques throughout the colon. The patient improved clinically after taking oral metronidazole.
Bowel wall "thumbprinting" (the appearance of "thumbprint"-shaped projections) is a radiological sign of thickening of the colonic wall. It occurs secondary to submucosal haemorrhage and oedema from capillary leakage.1 It can result from any process that leads to oedema of the bowel wall, including pseudomembranous colitis (as shown here), ischaemic colitis, non-infective inflammatory bowel disease, other infective bowel diseases, submucosal/intramural haemorrhage and other conditions.2 The mucosal damage and inflammation seen in pseudomembranous colitis are caused by Clostridium difficile toxin.3
- Moishe Liberman1
- Chris Labos2
- Jeff Wiseman3
- 1 Department of Surgery, McGill University Health Centre, Montreal, Quebec, Canada.
- 2 Department of Medicine, Royal Victoria Hospital, Montreal, Quebec, Canada.
- 1. Grainger RG, Allison D, Adam A, et al (editors). Grainger and Allison's diagnostic radiology: a textbook of medical imaging. 4th ed. New York: Churchill Livingstone, 2001: 1132.
- 2. Gore RM, Levine MS. Textbook of gastrointestinal radiology. 2nd ed. Philadelphia: WB Saunders, 2000: 1163.
- 3. Kelly CP, Pothoulakis C, LaMont JT. Clostridium difficile colitis. N Engl J Med 1994; 330: 257-262.

