Connect
MJA
MJA

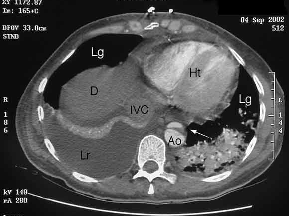
Aortic dissection in Turner syndrome

Colin I Clement, John Brereton and Phillip Clifton-Bligh
Med J Aust 2004; 180 (11): 584. || doi: 10.5694/j.1326-5377.2004.tb06097.x
Published online: 7 June 2004
  • Colin I Clement1
  • John Brereton2
  • Phillip Clifton-Bligh3

  • Royal North Shore Hospital, St Leonards, NSW.


Correspondence: 

Author

remove_circle_outline Delete Author
add_circle_outline Add Author

Comment
Do you have any competing interests to declare? *

I/we agree to assign copyright to the Medical Journal of Australia and agree to the Conditions of publication *
I/we agree to the Terms of use of the Medical Journal of Australia *
Email me when people comment on this article

Online responses are no longer available. Please refer to our instructions for authors page for more information.