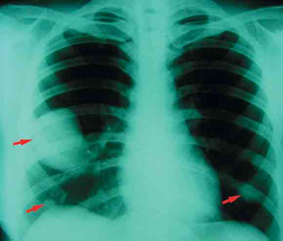
A 28-year-old woman presented with a 3-month history of wrist and ankle pain, lethargy and weight loss. She had clubbing of the fingers (Box 1) and toes. A bone scan (Box 2) and chest x-ray (Box 3) revealed periostosis in the wrists and pulmonary metastases, respectively. Two years earlier she had been diagnosed with a malignant phyllodes tumour of the left breast (Box 4), which was treated by mastectomy and axillary dissection.
Hypertrophic osteoarthropathy (HOA) secondary to pulmonary metastatic phyllodes tumour was diagnosed. HOA is a paraneoplastic syndrome characterised by digital clubbing, polyarthralgia and periostosis.1 The joint pain, resistant to non-opiate and opiate analgesia, responded to intravenous pamidronate. There was no tumour response to chemotherapy with adriamycin and ifosfamide.
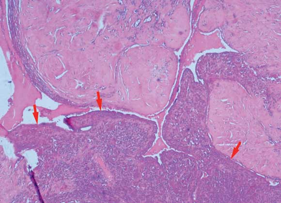
Phyllodes tumours are fibroepithelial lesions arising from intralobular breast stroma. They account for less than 1% of breast neoplasms. Treatment is by surgical resection. About 20% of patients with phyllodes tumours develop distant metastases, and long-term survival in these women is rare.2
- Fiona J Collinson1
- A Michael Bilous2
- Richard F Kefford3
- University of Sydney at Westmead Hospital, Wentworthville, NSW.





