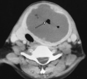
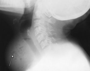
A 40-year-old woman presented with sudden onset of a painful neck swelling, fever and dysphagia. Examination revealed a warm, tender lump in her thyroid gland. Five weeks previously, she had had an abdominal hysterectomy with bilateral salpingo-oophorectomy for pelvic inflammatory disease. There was no evidence of leukopenia or diabetes. Computed tomography and x-ray images were consistent with a diagnosis of thyroid abscess (Figure 1 and Figure 2).
Anaerobic culture of a fine needle aspiration of pus confirmed the presence of Bacteroides fragilis. After failing twice to resolve the lump by aspiration, and incision and drainage, a left thyroid lobectomy was performed, with a satisfactory outcome. Antibiotics cefotaxime and metronidazole were administered after operation.
There are about 400 cases of acute suppurative thyroiditis reported in the medical literature,1 but Bacteroides fragilis as the causative agent has been documented only once before.1 More than two-thirds of the women and half of the men with acute suppurative thyroiditis have pre-existing thyroid disease.2 Acute suppurative thyroiditis may be secondary to bronchial cleft fistula, pyriform sinus fistula, thyroglossal duct, HIV/AIDS, diabetes, or leukaemia.1,2
- Sashidhar Yeluri1
- Jayshree P Mehta2
- Siddharth Karanth3
- Guneesh Dadayal4
- Department of General Surgery, SSG Hospital and Medical College, Baroda, India.



