Connect
MJA
MJA

Sideswipe injuries to the elbow in Western Australia

Vera Kinzel, Allan P Skirving, Michael N Wren and Rene Zellweger
Med J Aust 2006; 184 (9): 447-450. || doi: 10.5694/j.1326-5377.2006.tb00316.x
Published online: 1 May 2006

Drivers and passengers resting their elbow on the car window or protruding their arm from an open window can sustain severe sideswipe injuries of the arm either from a collision with a passing vehicle or from the exposed arm striking a fixed object.1 Such injuries used to occur frequently when roads were narrower and cars were wider, and were a common challenge to orthopaedic surgeons.2-7 Sideswipe injuries, although now rare, have not been eliminated, despite appropriate legislation in all Australian states forbidding drivers or passengers from having any part of their body outside the vehicle.8-10 Although rarely fatal, sideswipe accidents result in severe soft-tissue injuries combined with open fractures or partial amputation of the upper limb, often complicated by neurovascular injuries. Management involves multiple operations and long rehabilitation periods.

We have noticed a surprisingly high incidence of sideswipe injuries in drivers and passengers from rural areas of Western Australia. Our study aimed to examine the conditions leading to sideswipe injury and to highlight the severity of these injuries.

Patients and methods

All patients admitted to Royal Perth Hospital (RPH) between August 2003 and January 2005 with injuries to the arm and forearm from sideswipe motor vehicle accidents (MVAs) were prospectively included in the study. All patients were aware of inclusion in the study and their consent was obtained.

Patients’ age, sex, handedness and profession before and after the accident were recorded. Details of the accident were documented including the nature of the MVA, the location of the accident, the condition of the road, rural or urban location, the position of the person in the vehicle and whether he or she was a driver or a passenger. The object or the type of vehicle involved in the impact was also noted. Intoxication status and whether the person was restrained by a seatbelt at the time of the accident were also documented.

On arrival at RPH, all patients were treated according to Advanced trauma life support (ATLS) guidelines.11 Depending on the severity of injury, this was followed by immediate operative intervention or planned emergency operations by the orthopaedic team, in cooperation with the plastic or vascular surgery departments. The injury severity score (ISS) was determined, and this was correlated with the length of hospital stay and the overall outcome.

Information about concomitant injuries and their management, including repeated procedures, antibiotic treatment and medication, was obtained. Complications and outcomes were recorded at regular outpatient appointments at RPH for 12 months after the injury.

Results

During the 18-month study period, 479 people required inpatient treatment at RPH for injuries caused by an MVA. Of these, 11 were admitted after sideswipe MVAs with injuries to the upper limb. Box 1 summarises the patient and accident data.

Ten patients were male and one was female. The mean age was 34 years with a range of 16–67 years. Ten patients were right handed, eight with injuries to their dominant arm, while one left-handed student sustained injuries to his right arm.

Six patients resting the right elbow out of their car window were hit by vehicles (including a truck and a four-wheel drive) travelling in the opposite direction. Five patients were involved in accidents in which control over the car was lost and the protruding elbow or arm was hit by metal poles, trees or a wall. Three of these patients were front-seat passengers and therefore experienced injuries to their left non-dominant side. In 10 patients the injuries were confined to the protruding upper limb, while one also sustained an open fracture of the femur on the same side.

Nine of the accidents occurred on rural roads in Western Australia. Alcohol intoxication was a factor in six of the accidents, with the injured front-seat passengers and the driver intoxicated in two of these.

Ten patients sustained non-life-threatening injuries; one required resuscitation for hypovolaemic shock. The ISS ranged from 9 to 25.

All 11 patients were taken to theatre within 24 hours of arrival at RPH and all underwent a washout and debridement. Depending on the injury, the procedures performed included open reduction and internal fixation; nerve, artery and tendon repair; and free flaps and split-skin grafting. Nine patients underwent multiple surgical procedures; 10 required open reduction and internal fixation with low contact dynamic compression plates for open fractures of the humerus, ulna and radius. The various plating procedures are illustrated in Box 2.

Three patients sustained extensive lacerations: a radial nerve injury required repair in one patient; a complete division of the median nerve required cable grafting using the sural nerve in two patients; and one patient sustained a median nerve contusion associated with a radial artery injury that required a saphenous vein graft to the artery, combined with an open fracture to the radius and ulna. One patient sustained an injury to the metacarpophalangeal joint of the thumb, as well as a 50% division of the extensor carpi radialis longus muscle and a fracture of both forearm bones.

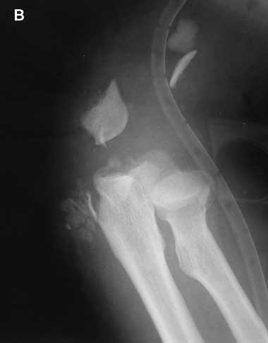
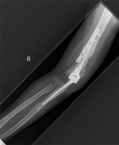
The most severe upper-arm injury involved Patient 7, with loss of the right distal humerus and olecranon, combined with an ulna nerve injury (Box 3). Initial treatment consisted of debridement and application of a bridging external fixator across the lost elbow joint (Box 4). This was complicated by iatrogenic radial nerve neuropraxia caused by the insertion of a Steinman pin. The external fixator was later replaced by a humeral allogeneic bone graft, an elbow prosthesis, and plate fixation of the humeral shaft (Box 5). The same patient also subsequently underwent a revision of the humeral plate procedure after a deep infection with Staphylococcus epidermidis was identified.

Despite repeated debridement, two patients developed wound infections. These patients received prolonged antibiotic cover, and one patient required split-skin graft surgery.

At discharge three patients had residual nerve impairment, which was managed by the plastic surgical team.

Four patients returned to work or their studies after discharge and rehabilitation and enjoy a similar lifestyle to that before the accident. The remaining seven patients have not been able to perform their pre-accident duties, and are having to consider a change of vocation. Problems include a decreased range of motion, pain, weakness, mal- and non-union of bone fractures, and incomplete recovery from nerve injury. One patient worked as a painter and sustained a complete wrist drop after the accident. He is awaiting further surgery and probable tendon transfer. Two patients are expected to undergo further surgery for mal-union of the forearm. One patient still has an unresolved problem with an infected bone bulk graft and established non-union of the humerus. All patients state that they have suffered severe financial consequences from the injury, with the seven patients not yet able to return to work relying on benefit payments.

Discussion

In Western Australia sideswipe injuries to the upper arm still occur despite recently introduced legislation and improvements in road conditions.9,12 Similar legislation10 exists in all other Australian states as well; however, Western Australia has the highest infringement penalties for such offences.

Divided highways and wider roads, air conditioning, and heightened public awareness have decreased the number of patients presenting with sideswipe injuries, but overall these changes have failed to fully prevent this devastating and life-changing injury, especially in rural areas.6,8 The Western Australian Road Traffic Code 2000, regulation 242, classifies a limb protruding from a motor vehicle as an offence that carries a penalty to the driver and/or passenger of three demerit points towards loss of licence.9 Despite this, in 2004, 321 drivers and passengers were fined for this offence in Western Australia alone. While three quarters of these offences were for drivers and passengers travelling in urban traffic, eight of our 11 patients sustained sideswipe injuries on rural roads. There is clearly a disparity here.

Several interventions have been shown to decrease the incidence of opposing-direction sideswipe crashes in rural areas, including centreline rumble strips (a relatively low-cost application), barriers to separate opposing traffic flow, and warning signs.13 A freeway management system involves a collection of integrated technologies — surveillance cameras, road sensors, variable message signs, ramp meters and traffic operation centres. Such a system used in Phoenix, Arizona, has been found to reduce the incidence of rearend crashes and sideswipe accidents in urban areas.14 Other features relating to the interior design of cars, such as ergonomic armrests, the ratio of door height to window height, and window lowering restrictions, intuitively play a role and could be legislated for. Currently, the Australian design rules for cars contain no legislation concerning the prevention of sideswipe injuries.15

Our study was not large enough to detect any definite pattern or uniformity in the nature of sideswipe injuries, except for their severity, and this seems not to have changed since this injury was first described.2,6,16-18 The injuries in our study ranged from simple lacerations and fractures to partial amputation of the elbow combined with severe nerve and vascular injuries. The severity of these sideswipe injuries was reflected in the number of patients requiring multiple surgical procedures and the poor functional outcome. Despite a prolonged rehabilitation period, residual deformity and impairment can be expected in most patients, and this can prevent return to pre-accident occupation and result in financial difficulties and reliance on welfare systems. This is especially tragic in younger people, as was the case with many of our patients.

Alcohol was a significant contributing factor in sideswipe injury, as it is in other MVAs.19-21

The predominance of males among our patients is probably multifactorial: young men are more likely to sustain serious motor vehicle trauma than young women. Differences in behaviour and maturity, alcohol use patterns, and social stereotyping are commonly cited reasons.22,23 Our results might suggest that men are more likely to have their arm outside a moving vehicle.

Sideswipe injuries unfortunately still occur in Australia. Increased awareness of this problem and further recommendations to keep arms within the vehicle, as well as improved car design, legislation and road conditions, especially in rural areas, are factors most likely to decrease the incidence of this frequently devastating but easily prevented injury.

1 Sideswipe injuries of the upper limb in car drivers or occupants: patients, accidents, injuries, treatment and outcomes

No./age/ sex

Profession and handedness

Accident

Injury (injury severity score [ISS])

Treatment (length of hospital stay)

Functional recovery

Employment implications 12 months after injury


1/16/M

Student

Left handed

Sideswipe with car, driver, intoxicated, rural

Right arm

Degloving injury, median nerve division (ISS 9)

Split skin graft, sural nerve graft (5 days)

Partial median nerve recovery

None

2/18/M

Sports science student

Right handed

Sideswipe with pole, driver, intoxicated, rural

Right arm

Open elbow dislocation, open ulna fracture

Open femur fracture (ISS 9)

ORIF ulna

Femoral nail (5 days)

Reduced range of movement, muscle weakness

Quit university, currently unemployed

3/23/M

Mechanical engineer

Right handed

Sideswipe with truck, driver, intoxicated, rural

Right forearm

Open radius fracture, open segmental ulna fracture, radial artery division, median nerve contusion (ISS 16)

ORIF radius, ORIF ulna/olecranon, saphenous vein graft, split skin graft (18 days)

Rotational deformity radius, angulation ulna, fixed supination, no active thumb extension, median nerve sensory loss. Awaiting further surgery

Benefit payments, currently unemployed

4/27/M

Construction worker

Right handed

Sideswipe with car, driver, no alcohol, rural

Right forearm

Open radius fracture, open olecranon fracture (ISS 9)

ORIF radius, ORIF ulna (10 days)

Cross-union radius/ulna, fixed supination

Awaiting further surgery

Benefit payments, currently unable to work

5/28/M

Roof tiler

Right handed

Sideswipe with car, passenger, intoxicated, rural

Left arm

Open humerus fracture, median nerve division (ISS 9)

Wound infection

ORIF humerus, sural nerve graft (11 days)

Full recovery

Resumed employment

6/29/M

Commercial cleaner

Right handed

Sideswipe with tree and wall, passenger, no alcohol, urban

Left arm

Open humerus fracture, open ulna fracture, PIN lesion, partial loss triceps (ISS 16)

Wound infection

ORIF humerus, ORIF ulna (7 days)

Full recovery

Resumed employment

7/37/M

Computer programmer

Right handed

Sideswipe with 4WD, driver, no alcohol, rural

Right arm

Open fracture dislocation, distal humerus loss, open olecranon fracture, ulna nerve neuropraxia, iatrogenic radial nerve injury (ISS 25)

Allogeneic bone graft infection

External fixator, then allogeneic bone graft, elbow prosthesis, ORIF humerus (40 days)

Infection allograft, non-union humerus, remaining ulna neuropraxia, loss of strength/range of movement

Benefit payments, unable to work

8/40/M

Painter

Right handed

Sideswipe with car, driver, no alcohol, rural

Right arm

Laceration upper arm, open ulna fracture, radial nerve lesion (ISS 9)

Radial nerve repair (3 days)

Wrist drop

Awaiting surgery

Benefit payments, unable to work

9/41/F

Unemployed

Right handed

Sideswipe with tree, passenger

Left forearm

Open ulna fracture, open radius fracture, degloving injury (ISS 9)

ORIF ulna, ORIF radius, free flap (7 days)

Decreased range of movement

Remains unemployed

10/49/M

Farm aid

Right handed

Sideswipe with tree, driver, intoxicated, rural

Right arm

Open radius fracture, open ulna fracture, MCPJ fracture of thumb, division ECRL (ISS 9)

ORIF radius, ORIF ulna, ORIF thumb, tendon repair (7 days)

Weakness, decreased range of movement

Restricted duties

11/67/M

Pensioner

Right handed

Sideswipe with pole, passenger, no alcohol, urban

Left forearm

Degloving injury, open ulna fracture (ISS 9)

Debridement, ORIF ulna (3 days)

Full recovery

Not applicable


4WD = Four-wheel drive vehicle; PIN = posterior interosseus nerve; MCPJ = metacarpophalangeal joint; ECRL = extensor carpi radialis longus; ORIF = open reduction internal fixation.

  • Vera Kinzel1
  • Allan P Skirving2
  • Michael N Wren3
  • Rene Zellweger4

  • Department of Orthopaedics, Royal Perth Hospital, Perth, WA.



Competing interests:

None identified.

  • 1. Crenshaw AH Jr. Fractures of shoulder, arm and forearm. In: Canale ST, Campbell WC, editors. Campbell’s operative orthopedics. 10th ed. Chapter 54. St Louis, Mo: CV Mosby, 2003.
  • 2. Rieth GR. Elbow out of the window injuries; a follow up study of 50 cases. J La State Med Soc 1959; 111: 220-223.
  • 3. Aufranc OE, Jones WN, Harris WH. Sideswipe injury to left elbow. JAMA 1963; 186: 855-857.
  • 4. Aufranc OE, Jones WN, Harris WH. Sideswipe injury to right elbow. JAMA 1964; 187: 1017-1019.
  • 5. Thompson MS, Chambers GH. Epidemiology of car window accidents. South Med J 1953; 46: 979-984.
  • 6. Carswell AS. Car window fractures of the left elbow. J Med Assoc Ga 1953; 42: 211-212.
  • 7. Watson-Jones R. Fracture-dislocation of the elbow. Fractures and joint injuries. 3rd ed. Edinburgh: Churchill Livingstone, 1946: 550-511.
  • 8. Duncan GJ, Meals R. One hundred years of automobile-induced orthopedic injuries. Orthopedics 1995; 18: 165-170.
  • 9. State of Western Australia. Road Traffic Code 2000 Western Australia, Division 5 242(1-4). Available at: http://www.austlii.edu.au/au/legis/wa/consol_reg/rtc2000113/s242.html (accessed Apr 2006).
  • 10. Australian Transport Council. Australian Road Rules. National Road Transport Commission, 19 October, 1999. Available at: http://www.rta.nsw.gov.au/rulesregulations/downloads/pts1-21.pdf (assessed Mar 2006).
  • 11. American College of Surgeons. Committee on Trauma. Advanced trauma life support for doctors. Student course manual. 7th ed. Chicago: ACS, Oct 2004.
  • 12. Nikitins MD, Ibrahim S, Cooter RD. Injury to arms protruding through vehicle windows. Hand Surg 2003; 8: 75-79.
  • 13. Persaud BN, Retting RA, Lyon CA. Crash reduction following installation of centerline rumble strips on rural two-line roads. Accid Anal Prev 2004; 36: 1073-1079.
  • 14. Olmstead T. Freeway management systems and motor vehicle crashes: a case study of Phoenix, Arizona. Accid Anal Prev 2001; 33: 433-447.
  • 15. Department of Transport and Regional Services. Vehicular transport. The Australian design rules. Canberra: Australian Government Department of Transport and Regional Services, 2005. Available at: http://www.dotars.gov.au/transreg/str_adrindx.aspx (accessed Apr 2006).
  • 16. Kuur E, Kjaersgaard-Anderson P. Side-swipe injury to the elbow. J Trauma 1988; 28: 1397-1399.
  • 17. Raab MG, Lapid MA, Adair D. Sideswipe elbow fractures. Contemp Orthop 1995; 30: 199-205.
  • 18. Wood CF. Traffic elbow. Ky Med J 1941; 39; 78-81.
  • 19. Drummer OH, Gerostamoulos J, Batziris H, et al. The incidence of drugs in drivers killed in Australian road traffic crashes. Forensic Sci Int 2003; 134(2-3): 154-162.
  • 20. Ozanne-Smith J. Road traffic injury — a global public health scourge: a review for World Health Day 2004 (April 7). Aust N Z J Public Health 2004; 28: 109-112. [erratum in: Aust N Z J Public Health 2005; 29: 496.]
  • 21. Connor J, Norton R, Ameratunga S, Jackson R. The contribution of alcohol to serious car crash injuries. Epidemiology 2004; 15: 337-344.
  • 22. Ulfarsson GF, Mannering FL. Differences in male and female injury severities in sport-utility vehicle, minivan, pickup and passenger car accidents. Accid Anal Prev 2004; 36: 135-147.
  • 23. Ostrom M, Sjogren H, Eriksson A. Role of alcohol in traffic crashes involving women: passenger fatalities in northern Sweden. J Stud Alcohol 1995; 56: 506-512.

Author

remove_circle_outline Delete Author
add_circle_outline Add Author

Comment
Do you have any competing interests to declare? *

I/we agree to assign copyright to the Medical Journal of Australia and agree to the Conditions of publication *
I/we agree to the Terms of use of the Medical Journal of Australia *
Email me when people comment on this article

Online responses are no longer available. Please refer to our instructions for authors page for more information.