Connect
MJA
MJA

Patients presenting to the general practitioner with pain of dental origin

Mohammed H Mansour and Stephen C Cox
Med J Aust 2006; 185 (2): 64-67. || doi: 10.5694/j.1326-5377.2006.tb00472.x
Published online: 17 July 2006
Dentofacial pain

Dentofacial pain is the reason for a significant proportion of patient presentations to health care professionals. In one study, the US National Institute of Dental and Craniofacial Research reported that an estimated 39 million people (about 22% of the US population aged 18 years or older) had experienced one of five types of orofacial pain more than once during the previous 6 months. Among this cohort, there were 22 million toothaches.1

Pain arising from dental caries

The anatomy of a normal tooth is shown in Box 1, A. Caries extending from enamel into dentine usually causes some sensitivity and pain. The dentine consists of fine tubules that contain cellular processes and afferent nerve fibres surrounded by dentinal fluid. The “hydrodynamic theory” proposes that the fluid moves back and forth to stretch, compress, and excite the nerves in the pulp (the highly vascularised and innervated connective tissue in the central cavity of the tooth). For pain to be felt, the dentine must be excited by a noxious stimulus, either hot or cold, sweet or sour, or touch. The pain is best described as a sensation of sudden shock and is sharp in nature. It is never spontaneous in onset.2

As carious lesions progress, the pulp will eventually become inflamed. It has been postulated that pulpitis leads to increased intrapulp tissue pressure that irritates the sensory nerves of the pulp and causes pain.3 Early in the course of events, this inflammation is reversible and could be thought of as an exaggerated form of dentinal pain. Pain is felt in response to a stimulus (most commonly, cold), and the pain is mild to moderate.4

When the pulp is affected by caries, histological findings are moderate to severe inflammation and some areas of necrosis. Patients present with moderate to severe pain, and 90% report a history of pain before the present pain episode. The pain, in this case, may be triggered by a stimulus (commonly, heat) or arise spontaneously. This stage is identified as irreversible pulpitis, and endodontic treatment or extraction is indicated for the tooth.5

If the inflammatory process or infection is allowed to proceed, the pulp will accumulate more necrotic foci and infection will spread to the apical tissues. The initial pathological response is apical periodontitis (Box 1, B), which is associated with an acute form of periradicular pain that can be excruciating and sometimes lasts for days. The tooth is exquisitely painful to touch, and even contacting the tooth during mouth closure may bring a flood of tears. The pain has been described as constant (24 hours a day), gnawing, throbbing and pounding. Eventually, the patient may gain relief, only to bite on the tooth while eating or sleeping and start the pain cycle once more. Some patients beg to have the tooth extracted, but even if their wish is acceded to, pain may continue for another 48 hours owing to osteitis.4 Spread of infection into periapical tissues forms a localised infection or an abscess (Box 2, Case 1). This can spread to the bony periosteum and cause cellulitis or abscess of soft tissues of the face or neck, with potential life-threatening consequences through possible airway compromise or intracranial spread of infection.

Other causes of dentofacial pain

Although caries is the most common cause of pulpitis and periapical spread of infection, there are other conditions that cause dentofacial pain. The most common are occlusal trauma, tooth fractures and cracks. Some infections are iatrogenic. GPs should be aware of caries as a cause of dental pain, but they should also be aware that not all carious lesions appear as cavities in teeth, particularly in this era of water fluoridation (Box 2, Case 2). Sometimes caries will show simply as an area of greyish discolouration or may only be visible on x-ray (Box 3).

Other causes of pain that are often missed by the GP are pericoronitis and alveolar osteitis (dry socket). The typical complaint of the patient with pericoronitis is severe, radiating pain in the back of the mouth and the inability to comfortably open or close the jaw. Not only is it painful to close against the inflamed operculum behind the erupting mandibular molar, but the pain of muscle trismus limits opening of the jaw as well. The soft tissues around the erupting molar are painful to touch, especially during eating (Box 4, Case 3).12

Dry socket, also known as acute alveolar osteitis, is an inflammatory condition of a dental extraction socket, occurring within 2–4 days of a tooth extraction (Box 4, Case 4). It is characterised by a severe, persistent throbbing pain from an extraction socket, which is usually empty but may contain a disintegrated blood clot and/or food debris. The bony walls of the socket are denuded and exquisitely sensitive to even gentle probing. Halitosis is invariably present. The condition probably arises from a complex interaction between surgical trauma, local bacterial infection and various systemic factors.13 Common risk factors are extraction of mandibular (but not maxillary) teeth (particularly lower third molars), poor oral hygiene, and smoking (especially if more than 20 cigarettes are smoked per day).14 Less common reasons for dentofacial pain include trigeminal neuralgia, atypical odontalgia and referred pain from temporomandibular disorders, salivary glands, sinuses and, rarely, the heart. Such unusual pains and presentations require specialist referral.

The main clinical points we have made in this article are summarised in the algorithm in Box 5.

2 Pain arising from dental caries*

Periapical intraoral x-ray of left upper molar: a radiolucent area (arrow), denoting periapical abscess formation, is seen adjacent to one of the roots of the first upper molar, which is heavily restored and has a root canal filling.

Case 1: Progressive facial swelling

A young woman presented to her GP with minor facial swelling after a week of severe, constant, throbbing pain in a lower back tooth. The GP diagnosed this as a soft tissue infection of dental origin, started the patient on a course of amoxycillin four times a day and advised her to see a dentist.

The patient did not see a dentist for 5 days and returned to her GP with a significantly larger swelling. The amoxycillin course was repeated and, although the patient was once again advised to see a dentist as soon as possible, she did not.

She presented again during the second course of amoxycillin, still reporting no improvement. By this stage, the swelling was about 3 cm in diameter at the angle of the right side of the mandible, tender, tense and associated with trismus.

Ideal management: Progressive facial swelling secondary to oral infection requires aggressive antibiotic therapy and urgent definitive management of the underlying lesion. Patients should be started on combination amoxycillin + metronidazole or clindamycin6 and referred immediately (if possible) to the nearest tertiary hospital — preferably one with an oral and maxillofacial surgery unit.

Case 2: Diagnosis overlooked because of intact enamel

A middle-aged woman presented to her GP complaining of pain of a week’s duration in the left aspect of the maxilla. The pain was a dull ache, intermittent but becoming progressively worse. The patient had avoided eating on the left side since the onset of pain.

On examining her teeth, the GP could not identify any cavities and accordingly excluded a dental cause of pain. The doctor prescribed paracetamol + codeine and suggested review in a week’s time.

The patient returned 3 days later with severe pain and minor facial swelling on the left side. Oral examination revealed no cavities in the left upper teeth, but a slight greyish shadow was noted on the left upper first molar. The tooth was percussed with a tongue depressor to reveal acute tenderness. A diagnosis of caries with extension into the periapical tissues was made and later confirmed by x-ray (see image in this Box).

Ideal management: Suspected caries beneath intact enamel requires pain control and immediate referral to a dentist. Antibiotics are only indicated if there are systemic symptoms, if there is fear of spread to vital structures such as the eyes or floor of the mouth, or if dental treatment cannot be obtained immediately.

* These are fictional cases based on typical patient scenarios.

4 Sources of dentofacial pain other than dental caries*

Case 3: Misdiagnosed pericoronitis

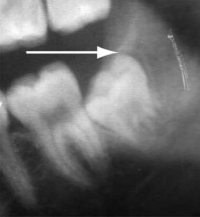
Segment of an orthopantomogram showing an impacted wisdom tooth: a radiolucent area (arrow) is seen behind an impacted right lower wisdom tooth from a patient with pericoronitis.

A 35-year-old man presented to a hospital emergency department with severe pain of 2 days’ duration originating in the left lower jaw and radiating into the temporal area. The pain was described as sharp and shooting in nature; it was present all the time and not relieved by paracetamol + codeine. Complete general and local physical examination performed at the emergency department did not reveal any obvious cause of the pain. A diagnosis of trigeminal neuralgia was made by exclusion, and the patient was prescribed 200 mg carbamazepine twice a day and advised to consult his GP during the week. The patient presented 32 hours later complaining of excruciating pain, despite having taken three carbamazepine tablets.

On examination of the oral cavity, a partially erupted left lower molar was noted, with surrounding mucosal erythema and extreme tenderness of the surrounding gum (see image in this Box). A diagnosis of pericoronitis was made.

Ideal management: Pericoronitis should be treated by irrigation of the pericoronal space with a sterile solution such as saline or 0.12% chlorhexidine. Broad spectrum antibiotics should be given if there are systemic symptoms.7,8 The patient should be referred to an oral and maxillofacial surgeon/dentist for surgical extraction of the tooth.

Case 4: Localised pain recurring after an extraction

A young woman had pain in the right lower first molar secondary to gross caries. She had the tooth extracted by a dentist. Forty hours later, she presented to her GP complaining of pain. The GP advised her that the pain was the result of tissue inflammation caused by the trauma of extraction and suggested that she take ibuprofen or paracetamol. However, the treatment gave no relief and she presented 24 hours later with a severe dull ache in the extraction area, radiating to the right ear. She was avoiding eating or drinking on the right side. She had been a heavy smoker and had not abstained from smoking after the extraction. She was afebrile. Local examination revealed halitosis and, at the site of extraction, a dry socket that was very tender to palpation by a tongue depressor.

Ideal management: A patient experiencing pain after tooth extraction should be prescribed an analgesic, preferably a non-steroidal anti-inflammatory drug, and referred back to the operating dentist. The GP should examine the extraction socket for debris and irrigate it with sterile saline or 0.12% chlorhexidine.9-11 The dentist should also give local anaesthetic and/or apply a light packing with an obtundant and a non-irritating antiseptic material.

* These are fictional cases based on typical patient scenarios.

  • Mohammed H Mansour1
  • Stephen C Cox2

  • 1 Oral Surgery, Townsville Hospital, Townsville, QLD.
  • 2 Oral Surgery, Westmead Hospital, Sydney, NSW.


Correspondence: mman0896@optusnet.com.au

Competing interests:

None identified.

  • 1. Lipton JA, Ship JA, Larach-Robinson D. Estimated prevalence and distribution of reported orofacial pain in the United States. J Am Dent Assoc 1993; 124: 115-121.
  • 2. Trowbridge HO, Franks M, Korostoff E, Emling R. Sensory response to thermal stimulation in human teeth. J Endod 1980; 6: 405-412.
  • 3. Kim S. Neurovascular interactions in the dental pulp in health and inflammation. J Endod 1990; 16: 48-53.
  • 4. Ingle JI, Click DH. In: Ingle JI, Bakland LK, editors. Endodontics. 5th ed. London: BC Decker Inc, 2002: 259-286.
  • 5. Bender IB. Pulpal pain diagnosis — a review. J Endod 2000; 26: 175-179.
  • 6. Therapeutic guidelines: antibiotic. 12th ed. Melbourne: Therapeutic Guidelines Limited, 2003: 138.
  • 7. Blakey GH, White RP Jr, Offenbacher S, et al. Clinical/biological outcomes of treatment for pericoronitis. J Oral Maxillofac Surg 1996; 54: 1150-1160.
  • 8. British Association of Oral and Maxillofacial Surgeons. Validated guidelines in oral and maxillofacial surgery. Management of pericoronitis. Available at: http://www.baoms.org.uk (accessed May 2006).
  • 9. Larsen PE. The effect of chlorhexidine rinse on the incidence of alveolar osteitis following the surgical removal of impacted mandibular third molars. J Oral Maxillofac Surg 1991; 49: 932-937.
  • 10. Ragno JR Jr, Szkutnik AJ. Evaluation of 0.12% chlorhexidine rinse on the prevention of alveolar osteitis. Oral Surg Oral Med Oral Pathol 1991; 72: 524-526.
  • 11. British Association of Oral and Maxillofacial Surgeons. Validated guidelines in oral and maxillofacial surgery. Management and prevention of dry socket. Available at: http://www.baoms.org.uk (accessed May 2006).
  • 12. Worrall SF, Riden K, Haskell R, Corrigan AM. UK National Third Molar project: the initial report. Br J Oral Maxillofac Surg 1998; 36: 14-18.
  • 13. Vezeau PJ. Dental extraction wound management: medicating post extraction sockets. J Oral Maxillofac Surg 2000; 58: 531-537.
  • 14. Garibaldi JA, Greenlaw J, Choi J, Fotovatjah M. Treatment of post-operative pain. J Calif Dent Assoc 1995; 23: 71-72, 74.

Author

remove_circle_outline Delete Author
add_circle_outline Add Author

Comment
Do you have any competing interests to declare? *

I/we agree to assign copyright to the Medical Journal of Australia and agree to the Conditions of publication *
I/we agree to the Terms of use of the Medical Journal of Australia *
Email me when people comment on this article

Online responses are no longer available. Please refer to our instructions for authors page for more information.