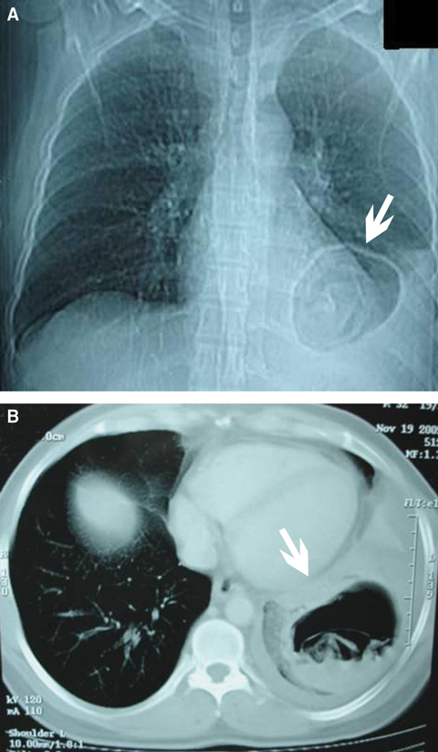
A 32-year-old farmer from rural north-west India presented with a history of paroxysms of cough with expectoration. He owned livestock (hens, goats, cattle and dogs) and lived alongside them. Physical examination was unremarkable except for reduced air entry in the left infra-axillary and infrascapular area. A chest x-ray (Box, A) showed a large, thin-walled cavity containing membranes in the lower lobe of the left lung, together with a left pleural effusion. A contrast-enhanced computed tomography scan of the chest (Box, B) revealed a cyst in the left lower lobe of the lung containing a freely floating endocyst (the “waterlily sign”). The diagnosis of Echinococcus infection (hydatid cyst) was confirmed by positive serology.
The waterlily sign, although rarely seen, is pathognomonic for Echinococcus.
- Maneesh Khanna1
- Sandeep Chauhan2
- Usha Dalal3
- Sarabmeet S Lehl4
- Government Medical College and Hospital, Chandigarh, India.


