Connect
MJA
MJA

Potential link between HMG-CoA reductase inhibitor (statin) use and interstitial lung disease

Tim Walker, Joe McCaffery and Chris Steinfort
Med J Aust 2007; 186 (2): 91-94. || doi: 10.5694/j.1326-5377.2007.tb00809.x
Published online: 15 January 2007

Over a 3-year period, seven patients who were taking HMG-CoA reductase inhibitors (statins) presented to our respiratory service with interstitial pneumonitis. Clinical course varied, with the condition responding to prednisolone treatment and cessation of statins in three patients, and progressing slowly despite this management in another three, while one patient died of associated cardiac disease. While a causative role cannot be confirmed, clinicians should be aware of the possible association.

Two patients who presented with interstitial lung disease to our hospital’s respiratory service in 2000 prompted us to research a possible association between this disease and therapy with statins (hydroxymethylglutaryl-coenzyme A [HMG-CoA] reductase inhibitors). A literature review revealed several isolated cases of pneumonitis in the setting of statin therapy.1-3 Thereafter, we prospectively recorded patients referred to our unit who had interstitial lung disease and were undergoing statin therapy, where no other clear cause of the pneumonitis was evident. All cases have been reported to the Adverse Drug Reactions Advisory Committee.

Clinical records

Between January 2000 and December 2003, our service saw 58 new presentations of interstitial lung disease, including the two patients discussed above. Data on these patients were retrieved from an ambulatory care database of newly presenting patients kept prospectively by our service. Their diagnoses are shown in Box 1. Eight cases were thought to be drug-associated: five of these were potentially linked to statin therapy, two to nitrofurantoin and one to amiodarone. Another two patients were referred to our service during hospital admissions in other specialties not included in our database. Details of these patients were retained from consultation records.

Clinical details of the seven patients taking statin therapy are shown in Box 2. Most patients presented with dyspnoea and non-specific examination findings consistent with interstitial lung disease, such as bilateral crepitations on chest auscultation. None had clubbing. Some patients had a background of smoking and mild chronic obstructive airways disease, while others had no specific risk factors. Statins potentially implicated were atorva-statin (10–40 mg daily), pravastatin (40 mg daily) and simvastatin (10–40 mg daily). No patients were taking other medications known to be implicated in interstitial lung disease.

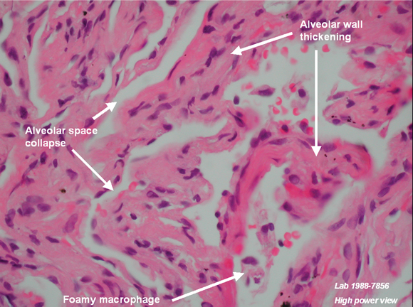
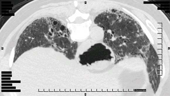
Pneumonitis was diagnosed based on clinical assessment, along with demonstration of interstitial infiltrates on high-resolution computed tomography and reduced transfer factor for carbon monoxide diffusion on lung function testing (Box 3).

Management comprised prednisolone or other immune-modifying treatment and/or withdrawal of the statin. In three patients treated with both prednisolone and statin withdrawal, pneumonitis decreased (Patients 3, 5 and 7). In another three, the condition progressed slowly: one of these (Patient 1) did not take prednisolone, and another (Patient 2) initially continued statin therapy and experienced respiratory failure necessitating home oxygen therapy before it was ceased. He died 18 months later of respiratory failure. The third (Patient 4) experienced slow progression despite statin withdrawal and treatment with prednisolone and azathioprine. The remaining patient (Patient 6) was treated with prednisolone but continued statin therapy, and died from coexisting cardiac disease, probably exacerbated by interstitial lung disease.

Discussion

Statins are the most often prescribed class of medication for treating hypercholesterolaemia. They act primarily by inhibiting HMG-CoA reductase, thereby inhibiting cholesterol biosynthesis and improving lipid profiles. However, recent research has revealed multiple immunomodulatory, vascular endothelial, antioxidant and other effects of statins.4 These so-called “pleiotrophic” effects have led to statins being studied in a host of unrelated clinical settings, including osteoporosis, multiple sclerosis and Alzheimer’s disease. While research is ongoing, it appears that statins have profound multisystem effects that extend well beyond lipid metabolism.

Statins are, on the whole, well tolerated, with the most commonly reported adverse effects being gastrointestinal upset, headache, rash and a dose-dependent elevation in serum levels of liver transaminases. The best characterised rare, but potentially serious, adverse effects are myopathy and polyneuropathy. These adverse effects are probably dose-related and may occur more often in patients taking medications known to inhibit statin metabolism.5

There are also a few reports of lupus-like syndromes, polymyositis/dermatomyositis with lung involvement, and hypersensitivity pneumonitis associated with statin therapy.1-3,6-9 The timing of onset appears unpredictable, with many patients having been taking statin therapy for many months or years before symptoms develop. Clinical features varied in severity from mild dry cough and rash through to severe and progressive respiratory failure. Low-titre antinuclear antibody (ANA) positivity and a raised erythrocyte sedimentation rate were also described in some patients. There are only four reports of open lung biopsy in these cases, two showing hypersensitivity pneumonitis with granuloma formation, one showing diffuse alveolar damage and the other showing non-specific interstitial pneumonitis. Most — but not all — patients responded to drug cessation and therapy with prednisolone or other potent immunosuppressive agents.2,8,9

Our patients shared many features with these patients. However, we did not observe rash of a dermatomyositic, lupoid or urticarial type, or lupus or polymyositis-like syndromes in our patients. Instead, all presented with respiratory symptoms — shortness of breath with or without dry cough — generally of insidious onset. Two out of six patients tested were positive for ANA with no other clinical features of connective tissue disease. The findings on transbronchial biopsy, when performed, were non-specific. Radiological appearances varied between alveolitis and fibrosis, but none showed the characteristic subpleural basal honeycombing that is common in usual interstitial pneumonia. The occurrence of alveolar eosinophilia in two out of the four patients who underwent bronchoalveolar lavage, which has previously been described in drug-hypersensitivity pneumonitis, and the response in several patients to drug cessation and/or corticosteroid therapy also point to a potential drug-induced pneumonitis.

One previous case of pneumonitis has been reported in the setting of statin therapy, which was confirmed by open lung biopsy, and where the findings closely resembled those in amphiphilic drug toxicity, such as that reported with amiodarone. The authors hypothesised that a toxic mechanism, possibly mediated by statin effects on lipid metabolism, led to the observed intralysosomal lamellar inclusions in pneumocytes and interstitial cells.9 Thus, while not fully characterised, there is a putative mechanism through which statins may cause interstitial pneumonitis.

Detecting rare side effects of commonly prescribed medications has always been a challenging task for the clinician. It is even more difficult when symptoms present insidiously, months or years after medication has been commenced, and the disease process has multiple potential aetiologies, which are not fully characterised. Similarly, interstitial lung disease remains a challenging diagnostic area even for experts in the field. Failure to recognise an under-lying cause of the pneumonitis often leads to the diagnosis of usual interstitial pneumonia being accepted. With continuation of the causative agent, the expected clinical pattern is progressive deterioration leading to respiratory failure and death, which also closely resembles the expected course of usual interstitial pneumonia. We hope that our description of our patients and review of the possible role of statins in interstitial lung disease will raise awareness of the potential association between statin therapy and this uncommon and often fatal condition. The effects of withdrawal of statin therapy on development of interstitial lung disease in patients taking this class of medication require further study.

2 Clinical details of seven patients with interstitial lung disease receiving statin (HMG-CoA reductase inhibitor) therapy

Patient

Sex, age

Presentation

Comorbidities

Medications at presentation

Investigations*

Treatment

Outcome


1

F, 78

Progressive dyspnoea, dry cough

Hypertension, type 2 diabetes, hyperlipidaemia, non-smoker

Atorvastatin (10 mg, 1 year), fosinopril, sertraline

HRCT: extensive bilateral fibrosis TLCO: 46% No lavage or biopsy ANA-positive (1/40)

Colchicine, atorvastatin withdrawn

Slow progression: lung function deteriorated but clinical condition stable, little dyspnoea on 3-year follow-up

2

M, 78 

Progressive dyspnoea (3 weeks), no cough or fever

Chronic obstructive airways disease, IHD, atrial fibrillation, stroke, hyperlipidaemia, depression, ex-smoker

Pravastatin (40 mg, 10 years), aspirin, frusemide, isosorbide mononitrate, perindopril, sertraline

HRCT: extensive mid and upper zone emphysema, coarse bilateral basal fibrosis TLCO: 14%, mildly obstructed flow volume loop No lavage No biopsy (as poor respiratory reserve) ANA-positive (1/640)

Prednisolone (50 mg), pravastatin withdrawn

Progression, discharged with home oxygen, died 18 months later (respiratory failure)

3

F, 74

Cough and fever (3 days) (consistent with pneumonia) on background of worsening exertional dyspnoea

Chronic obstructive airways disease, IHD, congestive cardiac failure, hyperlipidaemia, ex-smoker

Simvastatin (10 mg for 2 years, then 20 mg for 1 year), aspirin, thyroxine, frusemide, diltiazem, nicorandil, long-acting nitrates

HRCT: diffuse ground glass left upper lobe and bilateral lower zone No TLCO Lavage: 78% macrophages, 12% neutrophils, 9% lymphocytes Biopsy: non-specific interstitial pneumonitis No ANA test

Prednisolone (50 mg), simvastatin withdrawn

Gradual reduction in infiltrative change on imaging, lung function stable at 9-month follow-up

4

M, 83

Progressive dyspnoea (6 months)

IHD, CABG and aortic valve replacement, atrial flutter, hyperlipidaemia, ex-smoker

Pravastatin (40 mg, 1 year), aspirin, digoxin, frusemide, ramipril, ranitidine

HRCT: scattered bilateral fibrosis TLCO: 33% Lavage: 68% neutrophils, 26% macrophages, 3% lymphocytes, 1% eosinophils Biopsy: non-diagnostic ANA-negative

Prednisolone (40 mg), azathioprine, pravastatin withdrawn

Slow progression

5

F, 67

Chronic mild dyspnoea (9 months), dry cough (6 months)

Hyperlipidaemia, atypical chest pain, non-smoker

Simvastatin (40 mg, 5 years), aspirin

HRCT: patchy bilateral upper and lower zone ground glass TLCO: 22% No lavage or biopsy Negative for ANA, ANCA, normal ACE

Prednisolone (25 mg, reduced to 10 mg after 3 months), simvastatin withdrawn

Marked improvement (TLCO: 51% after 1 month, then 65% after 1 year)

6

M, 68

Progressive dyspnoea and hypoxia

IHD, CABG and aortic valve replacement (10 years before), gastro-oesophageal reflux disease, hyperlipidaemia, ex-smoker

Simvastatin (10 mg, 2 years), atenolol, candesartan, esomeprazole, frusemide, warfarin

HRCT: bilateral fibrosis TLCO: 46%, mild restrictive defectLavage: 19% eosinophils, 19% neutrophils Biopsy: mixed inflammatory and fibrotic change ANA-negative

Prednisolone (37.5 mg), azathioprine, simvastatin continued

Progressive cardiac failure, died 9 months after presentation

7

M, 64

Progressive dyspnoea, dry cough

IHD, CABG and aortic valve replacement (11 years before), peptic ulcer disease, hyperlipidaemia, ex-smoker

Atorvastatin (20 mg for 3 years, then 40 mg for 2 years), fosinopril

HRCT: bilateral ground glass infiltrates, fibrosis, some traction bronchiectasis TLCO: 44%, mildly obstructed flow volume loop Lavage: 38% eosinophils, 15% lymphocytes, 5% neutrophils Biopsy: thickened alveolar walls with interstitial fibrosis, minimal inflammation ANA-negative

Prednisolone (initially 50 mg, then 10 mg maintenance), atorvastatin withdrawn

Slight initial improvement (TLCO: 52% at 2-month follow-up), then stable disease


HMG-CoA = hydroxymethylglutaryl-coenzyme A. IHD = ischaemic heart disease. CABG = coronary artery bypass graft surgery. HRCT = high-resolution computed tomography. TLCO = transfer factor for carbon monoxide diffusion. ANA = antinuclear antibody. ANCA = antineutrophil cytoplasmic antibody. ACE = angiotensin-converting enzyme. * All patients underwent HRCT and TLCO measurement, while most underwent bronchoscopy with broncho-alveolar lavage and transbronchial biopsy.

  • Tim Walker1
  • Joe McCaffery2
  • Chris Steinfort3

  • Geelong Hospital, Geelong, VIC.


Correspondence: timw@barwonhealth.org.au

Acknowledgements: 

We thank Dr R Spokes and Dr A Jones, Pathologists, and Dr C Hair, Pathology Registrar, Pathcare Consulting Laboratories, for preparing and annotating histological slides, and Dr D Lun, Radiologist, Barwon Medical Imaging, for providing the high-resolution computed tomography image.

Competing interests:

None identified.

  • 1. Hill C, Zeitz C, Kirkham B. Dermatomyositis with lung involvement in a patient treated with simvastatin. Aust N Z J Med 1995; 25: 745-746.
  • 2. Liebhaber M, Wright R, Gelberg H, et al. Polymyalgia, hypersensitivity pneumonitis and other reactions in patients receiving HMG-CoA reductase inhibitors: a report of ten cases. Chest 1999; 115: 886-889.
  • 3. De Groot RE, Willems LN, Dijkman JH. Interstitial lung disease with pleural effusion caused by simvastin. J Intern Med 1996; 239: 361-363.
  • 4. Takemoto M, Liao JK. Pleiotropic effects of 3-hydroxy-3-methylglutaryl coenzyme a reductase inhibitors. Arterioscler Thromb Vasc Biol 2001; 21: 1712-1719.
  • 5. Bellosta S, Paoletti R, Corsini A. Safety of statins: focus on clinical pharmacokinetics and drug interactions. Circulation 2004; 109 (23 Suppl 1): III50-III57.
  • 6. Ahmad S. Lovastatin-induced lupus erythematosus. Arch Intern Med 1991; 151: 1667-1668.
  • 7. Bannwarth B, Miremont G, Papapietro PM. Lupuslike syndrome associated with simvastatin. Arch Intern Med 1992; 152: 1093.
  • 8. Fauchais AL, Iba Ba J, Maurage P, et al. [Polymyositis induced or associated with lipid-lowering drugs: five cases] [French]. Rev Med Interne 2004; 25: 294-298.
  • 9. Lantuejoul S, Brambilla E, Brambilla C, Devouassoux G. Statin-induced fibrotic nonspecific interstitial pneumonia. Eur Respir J 2002; 19: 577-580.

Author

remove_circle_outline Delete Author
add_circle_outline Add Author

Comment
Do you have any competing interests to declare? *

I/we agree to assign copyright to the Medical Journal of Australia and agree to the Conditions of publication *
I/we agree to the Terms of use of the Medical Journal of Australia *
Email me when people comment on this article

Online responses are no longer available. Please refer to our instructions for authors page for more information.