Connect
MJA
MJA

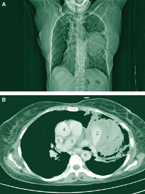
Pulmonary artery aneurysm

Zubair Ahmad, Imrana Masood and Saurabh K Singh
Med J Aust 2007; 186 (6): 314. || doi: 10.5694/j.1326-5377.2007.tb00908.x
Published online: 19 March 2007
  • Zubair Ahmad1
  • Imrana Masood2
  • Saurabh K Singh3

  • Department of TB and Chest Diseases, Jawaharlal Nehru Medical College, Aligarh Muslim University, Aligarh, India.


Correspondence: imranamasud@yahoo.com

Author

remove_circle_outline Delete Author
add_circle_outline Add Author

Comment
Do you have any competing interests to declare? *

I/we agree to assign copyright to the Medical Journal of Australia and agree to the Conditions of publication *
I/we agree to the Terms of use of the Medical Journal of Australia *
Email me when people comment on this article

Online responses are no longer available. Please refer to our instructions for authors page for more information.