Connect
MJA
MJA

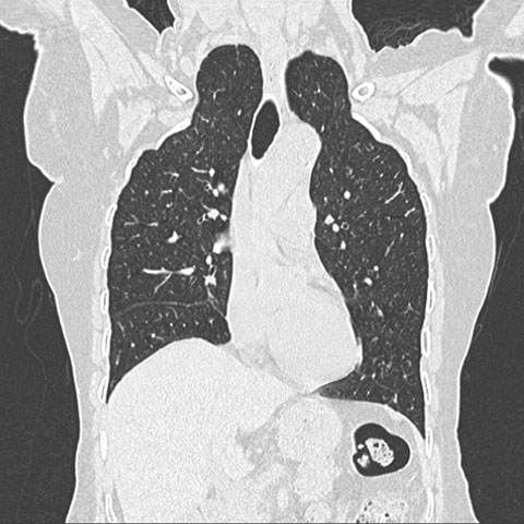
Apical lung hernia

Jyotsna M Joshi
Med J Aust 2007; 187 (6): 368. || doi: 10.5694/j.1326-5377.2007.tb01268.x
Published online: 17 September 2007
  • Jyotsna M Joshi1

  • Respiratory Medicine, BYL Nair Hospital and Topiwala National Medical College, Mumbai, Maharashtra, India.


Correspondence: drjoshijm@email.com

Acknowledgements: 

Acknowledgement: I thank Dr Bhavin Jankharia, Consultant Radiologist, JIC, Mumbai, India, for the computed tomography image.

Author

remove_circle_outline Delete Author
add_circle_outline Add Author

Comment
Do you have any competing interests to declare? *

I/we agree to assign copyright to the Medical Journal of Australia and agree to the Conditions of publication *
I/we agree to the Terms of use of the Medical Journal of Australia *
Email me when people comment on this article

Online responses are no longer available. Please refer to our instructions for authors page for more information.