Connect
MJA
MJA

Apparent spontaneous complete regression of a multifocal malignant mesothelioma of the pleura

Roger K A Allen
Med J Aust 2007; 187 (7): 413-415. || doi: 10.5694/j.1326-5377.2007.tb01315.x
Published online: 1 October 2007

A 61-year-old woman diagnosed with multifocal, poorly differentiated epithelial mesothelioma in September 2002 went into sustained spontaneous remission within months. She was completely disease-free within 6 months, and remained so 5 years later. This case demonstrates that this tumour may, very rarely, regress spontaneously, with no recurrence for many years. A greater knowledge of the underlying immune mechanisms would aid future management of this and other tumours.

Clinical record

In early September 2002, a 61-year-old woman was referred to our centre from the emergency room of a local private hospital. She had presented with a 2-day history of intermittent, sudden onset, severe right-sided lateral pleuritic chest pain lasting a few minutes. In the private hospital emergency room, chest radiography and computed tomography (CT) had shown pleural masses, which were subsequently found to be poorly differentiated epithelial mesothelioma.

The patient reported that, over the previous week, she had felt weak and lethargic, but was otherwise well. She had no previous serious illnesses, but had recently started taking iron supplements for anaemia and occasionally took non-steroidal anti-inflammatory agents for osteoarthritis. She was a non-drinker, and had ceased smoking 5 months previously. (She started smoking at the age of 16 years and had been smoking 40 cigarettes a day.) She was a widow with three adult children, and had emigrated from the United Kingdom in 1969. Her husband died at the age of 39 years of a myocardial infarction. Her father died of carcinoma of the oesophagus, and her mother of “old age”. Her four siblings and three adult children were all well.

Although she had no history of asbestos exposure from any of her husband’s occupations, she could have been exposed to asbestos during two periods of her life. From the age of 15–22 years in the UK, she worked as a machinist in a factory where asbestos lagging was used for the steam pipes of steam presses and central heating. Then, in 1984, her son worked for a year for a company making asbestos gaskets, and throughout this period she washed his work overalls.

On examination, she looked well and was not in pain. She weighed 74 kg and was of normal build, but had slight conjunctival pallor. An electrocardiogram showed sinus rhythm; her blood pressure was 140/60 mmHg, and her jugular venous pressure was not elevated. There was no cyanosis or clubbing. Examination of the chest, cardiovascular system, breast, abdomen and peripheries showed no abnormalities.

Investigations

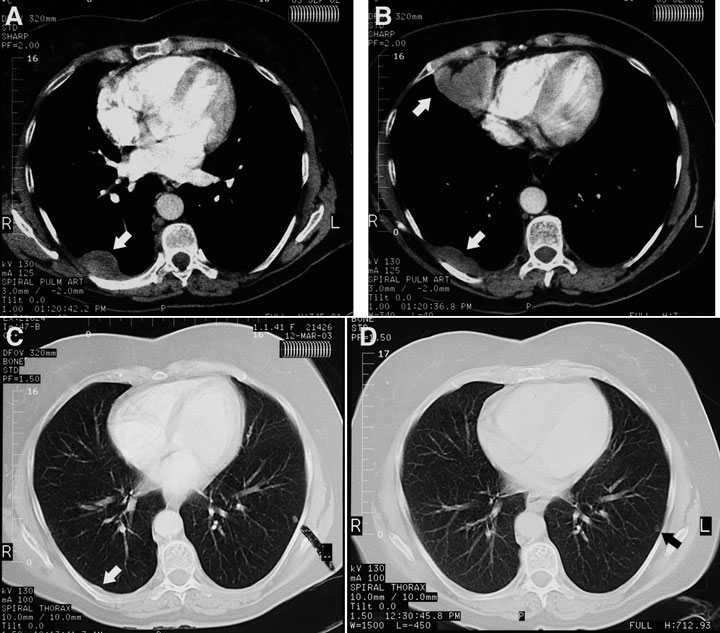
A chest radiograph taken before referral showed a pleural density measuring 10 cm × 2 cm overlying the posterior aspect of the right lower lobe, with no pleural plaques or other stigmata of asbestos exposure. A CT pulmonary angiogram performed the same day to exclude pulmonary embolism showed three pleural masses in the right side of the chest — the first corresponding to the opacity visible on the chest radiograph in the right costovertebral gutter at the level of the tracheal bifurcation, the second having a diameter of 6 cm and located in the right cardiophrenic angle (not of fatty attenuation), and the third in the right posteromedial costophrenic recess, just above the diaphragm (Box 1A and Box 1B). The lungs, mediastinum and upper abdomen (including the pancreas and para-aortic nodes) were normal.

Laboratory tests showed her haemoglobin level was 104 g/L (reference range [RR], 115–160 g/L), with a normochromic normocytic anaemia; she had thrombocytosis (555 × 109/L [RR, 150–450 × 109/L]) and leukocytosis (11.2 × 109/L [RR, 4.0–11.0 × 109/L]), with mild neutrophilia (8.2 × 109/L [RR, 2.0–7.5 × 109/L]). Her erythrocyte sedimentation rate was markedly elevated at 110 mm/h (RR, 1–30 mm/h), as was her serum C-reactive protein level (294 mg/L [RR, 0–6 mg/L]). She had mildly elevated concentrations of liver enzymes (alanine aminotransferase, 98 U/L [RR, 0–45 U/L]; aspartate aminotransferase, 70 U/L [RR, 0–41 U/L]; and lactate dehydrogenase, 268 U/L [RR, 80–250 U/L]), with normal serum bilirubin and alkaline phosphatase levels. Her serum iron level was low (2 μmol/L [RR, 10–33 μmol/L]).

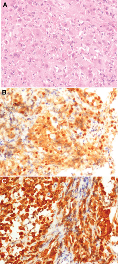
A core biopsy (20 mm × 1 mm) of one of the right pleural masses showed morphological and immunohistochemical features of a poorly differentiated epithelial mesothelioma. A pathology report by an experienced pathologist with a special interest in pulmonary and pleural pathology read:

There is a proliferation of poorly cohesive large cells many of which had vesicular nuclei, prominent nucleoli and abundant eosinophilic cytoplasm. Occasional binucleate and multinucleate forms are present and there is a small amount of associated collagenous stroma with a mild chronic inflammatory cell infiltrate [Box 2A]. There is no evidence of mucin production, and immunoperoxidase stains for a variety of keratins are strongly positive, along with positive staining for calretinin [Box 2B] and cytokeratin 5/6, both markers of mesothelial differentiation [Box 2C]. Stains for LCA and S100 protein are negative.

The pathology results were later reviewed by another pathologist with considerable experience of mesothelioma, who drew the same conclusion.

Discussion

There have been a few reports of spontaneous regression of malignant mesothelioma, but prolonged, disease-free periods are rare. Our report appears to be the first to describe a patient in Australia with a poorly differentiated, multifocal epithelial mesothelioma that regressed spontaneously, with the disease remaining in remission for 5 years.

There has been one case report of a patient with malignant mesothelioma of the pleura that regressed spontaneously, but after 6 years there was a single recurrence, which was resected surgically, and the patient was followed up for a total of 12 years.1 This raises the question in such cases of the duration of follow-up. In the latter case, a prominent host response to tumour was seen in both the primary tumour and the recurrence. In another case, a patient had a spontaneous remission of a malignant peritoneal mesothelioma, and had high spiking fevers when the tumour recurred.2

A report from Western Australia described a woman whose tumour regressed spontaneously but who eventually died 20 months later.3 It was noted that the tumour tissue was infiltrated with mononuclear cells, and as the tumour recurred some malignant mesothelioma antigens disappeared.

Several aspects of our case should be noted.

This case highlights the possibility that spontaneous regression of mesothelioma may occur occasionally. Spontaneous tumour regression therefore should be seen as part of the spectrum of the natural history of mesothelioma and other tumours. A detailed study of the immunity of such individuals “after the event” is unlikely to reveal any particular abnormality but, in hindsight, it would have been interesting to have performed detailed immunological studies during the initial regression period. The role of mesothelin-related serum proteins needs further evaluation. The understanding of this process is likely to be pivotal in the improved treatment of this usually lethal condition.

  • Roger K A Allen1

  • Wesley Medical Centre, Brisbane, QLD.


Correspondence: rogerallen@internode.on.net

Acknowledgements: 

I would like to thank Dr Rick Abraham, Medical Oncologist and Senior Lecturer in Medicine, University of Queensland, for his assistance in the management of this patient; Dr Ian LeFevre, Histopathologist, QML Pathology, Brisbane, and Dr Lyndie Clark, Histopathologist, Prince Charles Hospital, Brisbane, for reviewing the histological sections; and Dr Ian LeFevre and QML Pathology for supplying the photomicrographs.

Competing interests:

None identified.

  • 1. Pilling JE, Nicholson AG, Harmer C, Goldstraw P. Prolonged survival due to spontaneous regression and surgical excision of malignant mesothelioma. Ann Thorac Surg 2007; 83: 314-315.
  • 2. Schwartz E, Maayan C, Mouallem M, et al. Malignant peritoneal mesothelioma: long-term spontaneous clinical remission. Med Pediatr Oncol 1991; 19: 325-328.
  • 3. Robinson BW, Robinson C, Lake RA. Localised spontaneous remission in mesothelioma — possible immunological mechanism. Lung Cancer 2001; 32: 197-201.

Author

remove_circle_outline Delete Author
add_circle_outline Add Author

Comment
Do you have any competing interests to declare? *

I/we agree to assign copyright to the Medical Journal of Australia and agree to the Conditions of publication *
I/we agree to the Terms of use of the Medical Journal of Australia *
Email me when people comment on this article

Online responses are no longer available. Please refer to our instructions for authors page for more information.