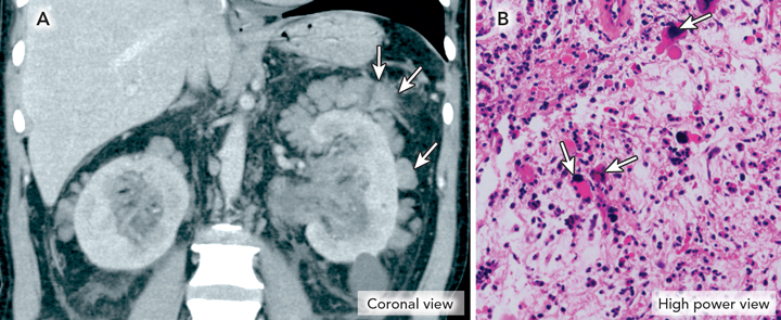
A 59-year-old man presented with persistent abdominal discomfort 12 months after splenectomy for thrombocytopenia to ameliorate progressive myelofibrosis. Physical examination revealed bilateral loin masses. Computed tomography of the abdomen identified perinephric cuffing by soft tissue nodular masses in the perinephric fat (Figure A). Core needle biopsy of the right perinephric fat revealed haematopoietic cells (Figure B).
Extramedullary haematopoiesis is not uncommon when intramedullary haematopoiesis is impaired.1-3 Common sites include the liver and spleen. It is unusual for extramedullary haematopoiesis to involve the perinephric fat. The role of splenectomy in accelerating the development of extramedullary haematopoiesis in uncommon sites has become increasingly apparent.1
- 1. Gibbins J, Pankhurst T, Murray J, et al. Extramedullary haematopoiesis in the kidney: a case report and review of literature. Clin Lab Haematol 2005; 27: 391-394.
- 2. Gryspeerdt S, Oyen R, Van Hoe L, et al. Extramedullary haematopoiesis encasing the pelvicalyceal system. CT findings. Ann Hematol 1995; 71: 53-56.
- 3. Woodward N, Ancliffe P, Griffiths MH, Cohen S. Renal myelofibrosis: an unusual case of renal impairment. Nephrol Dial Transplant 2000; 15: 257-258.



I thank Professor Douglas Joshua, Institute of Haematology, Royal Prince Alfred Hospital, for guidance, and Dr Jim Raleigh, Department of Radiology, Royal Prince Alfred Hospital and Dr Geoffrey Watson, Department of Anatomical Pathology, Royal Prince Alfred Hospital for assistance with preparation of images.