A 64-year-old man presented with abdominal distension and nausea, following 5 days of colicky abdominal pain and constipation. He had been taking antihypertensive and anti-asthma medication for 15 years. Clinically, generalised abdominal tenderness and guarding were present.
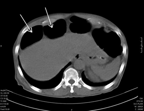
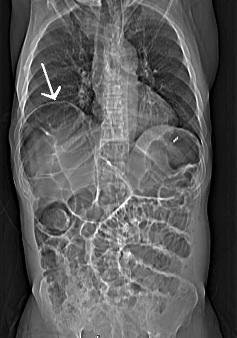
A chest x-ray revealed hepatodiaphragmatic interposition of the large bowel (Chilaiditi sign). Abdominal computed tomography confirmed the presence of bowel loops anterior to the liver (Figures, arrows) and grossly dilated large bowel with no evidence of pneumoperitoneum. Biochemical analysis revealed hyponatraemia and hypokalaemia.
- Shobhit Mathur1
- Om J Lakhani2
- Virsing P Hathila3
- Dipesh D Duttaroy4
- Anis S Vohra5
- Himesh R Chauhan6
- Government Medical College and SSG Hospital, Vadodara, Gujarat, India.
Correspondence: drshobhitmathur@yahoo.co.in
Online responses are no longer available. Please refer to our instructions for authors page for more information.



