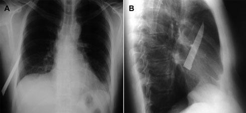
A 55-year-old man suffered a thoracic knife wound during an assault. The wound was sutured by a general practitioner. Five days later, the patient re-presented to another medical centre with chest pains after travelling on two Australian domestic flights, including one for which airport security required him to undergo screening with a metal detector.
This case highlights the need for thorough investigation of thoracic stab wounds.

- Martin R Brown1
- Prince Charles Hospital, Brisbane, QLD.
Correspondence: martin_brown@health.qld.gov.au
Online responses are no longer available. Please refer to our instructions for authors page for more information.

