A 28-year-old man presented to the emergency department with acute left upper quadrant tenderness and postural hypotension. He reported having had fever and cervical tenderness for 1 week before his presentation.
Blood tests showed an elevated white cell count with reactive lymphocytosis. A test for infectious mononucleosis heterophile antibody was positive, consistent with recent infection.
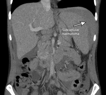
A contrast scan of the abdomen showed splenomegaly with subcapsular haematoma.
Splenic rupture after infectious mononucleosis is rare (incidence, 0.1%–0.5%), but can have disastrous consequences if overlooked.1,2

- Eugene Ng1
- Michelle Lee1
- Department of Surgery, Royal Brisbane and Women's Hospital, Brisbane, QLD.
Correspondence: eugeneng82@gmail.com
Online responses are no longer available. Please refer to our instructions for authors page for more information.

