
The full article is accessible to AMA
members and paid subscribers.
Login to MJA or subscribe now.
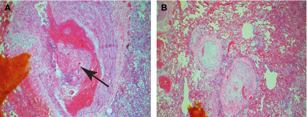
- 1. Miyazaki S, Ikeda T, Ito G, et al. Pulmonary tumor thrombotic microangiopathy successfully treated with corticosteroids: a case report. J Med Case Rep 2017; 11: 356.
- 2. Ho AL, Szulakowsi P, Mohamid WH. The diagnostic challenge of pulmonary tumour thrombotic microangiopathy as a presentation for metastatic gastric cancer: a case report and review of the literature. BMC Cancer 2015; 15: 450.
Online responses are no longer available. Please refer to our instructions for authors page for more information.


No relevant disclosures.