Connect
MJA
MJA

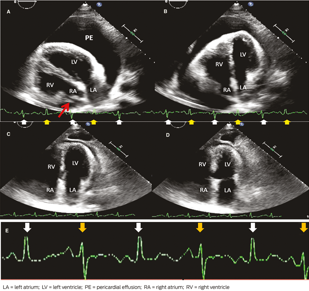
Demonstrating the mechanism of electrical alternans in cardiac tamponade: “the swinging heart”

Jeet Ram Kashyap and Suraj Kumar
Med J Aust 2020; 213 (2) || doi: 10.5694/mja2.50687
Published online: 20 July 2020

The full article is accessible to AMA
members and paid subscribers.
Login to MJA or subscribe now.


  • Government Medical College and Hospital, Chandigarh, India


Correspondence: cardiogmch32@gmail.com

Competing interests:

No relevant disclosures.

Author

remove_circle_outline Delete Author
add_circle_outline Add Author

Comment
Do you have any competing interests to declare? *

I/we agree to assign copyright to the Medical Journal of Australia and agree to the Conditions of publication *
I/we agree to the Terms of use of the Medical Journal of Australia *
Email me when people comment on this article

Online responses are no longer available. Please refer to our instructions for authors page for more information.