Connect
MJA
MJA

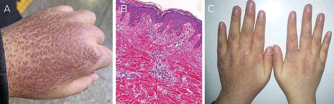
Wong‐type dermatomyositis

Li Chai and Ze‐Hu Liu
Med J Aust ; (3): . || doi: 10.5694/mja2.51802
Published online: 20 February 2023



  • Hangzhou Third People's Hospital, Affiliated Hangzhou Dermatology Hospital, Zhejiang University, Hangzhou, China


Correspondence: zehuliu@yahoo.com

Competing interests:

No relevant disclosures.

  • 1. Wong KO. Dermatomyositis: a clinical investigation of twenty‐three cases in Hong Kong. Br J Dermatol 1969; 81: 544‐547.
  • 2. Bax CE, Grinnell M, Concha JSS, Werth VP. Wong‐type dermatomyositis in an African American patient. Arthritis Rheumatol 2021; 73: 630.

Author

remove_circle_outline Delete Author
add_circle_outline Add Author

Comment
Do you have any competing interests to declare? *

I/we agree to assign copyright to the Medical Journal of Australia and agree to the Conditions of publication *
I/we agree to the Terms of use of the Medical Journal of Australia *
Email me when people comment on this article

Online responses are no longer available. Please refer to our instructions for authors page for more information.