
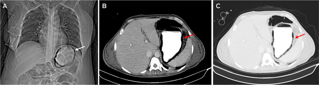
Gastric pneumatosis, a rare condition characterised by the presence of air in the gastric wall, may be caused by infection or ischaemia.1 A 47‐year‐old woman who had undergone a Hartmann procedure for sigmoid colon perforation, developed sepsis a week after surgery. Blood cultures grew Corynebacterium diphtheriae and Pseudomonas aeruginosa. A computed tomography scout image of the abdomen showed circumferential gas within the gastric wall (Figure, A). Axial images in soft tissue (Figure, B) and lung windows (Figure, C) delineated the extent of gastric pneumatosis. There was no evidence of portal venous gas. Gastric pneumatosis can be subdivided into gastric emphysema (typically self‐limiting) or the more aggressive emphysematous gastritis.2


Patient consent:
The patient gave written consent for publication.
No relevant disclosures.